基于細胞的療法,尤其是利用干細胞的療法,正在改變神經系統疾病治療的格局。這些療法為患有衰弱性神經系統疾病的患者帶來了希望,彌補了傳統療法與神經損傷修復或緩解之間的差距。盡管許多基于干細胞的療法仍處于人體臨床試驗的初期階段,但臨床前研究表明,神經系統疾病的治療方法正在發生范式轉變。
神經修復新紀元:干細胞的多靶點機制與六大神經系統疾病的臨床轉化進展
近期,期刊雜志“Journal of Alzheimer’s Disease”發表了一篇“Stem Cell Interventions in Neurology: From Bench to Bedside”(干細胞干預治療神經病學疾病:從實驗室到臨床)的研究綜述。

該綜述首先探討了干細胞的分子和功能特性以及干細胞自我更新、分化和旁分泌作用的內在特性,其次重點強調了神經干細胞和間充質干細胞在治療中風、多發性硬化癥、肌萎縮側索硬化癥、創傷性腦損傷、帕金森病和阿爾茨海默病等神經系統疾病中的基本原理,并重點介紹了最有可能從這些突破性療法中獲益的特定疾病。
干細胞生物學的基本概念
干細胞的核心特性與分類:干細胞是具有自我更新和多向分化潛能的特殊細胞,通過對稱分裂維持自身群體,或通過不對稱分裂生成功能特化細胞。
按發育階段可分為胚胎干細胞(全能性,分化為所有細胞類型)和成體干細胞(多能或專能,參與組織修復);
按分化潛能分為全能、多能(如iPSC分化為三胚層)及專能干細胞(如神經干細胞定向分化為神經元、膠質細胞)。其命運受微環境(niche)精確調控,平衡靜息與激活狀態。
本綜述重點介紹了神經干細胞 (NSC) 的作用,這是一種特殊類型的干細胞,可以分化成成熟的神經元、星形膠質細胞和少突膠質細胞——這些是成人大腦中的主要細胞類型。本文還討論了頗具爭議的間充質干細胞 (MSC) 轉分化概念。
干細胞微環境是指干細胞所在的組織微環境,對調節其功能和分裂潛力至關重要。在神經系統疾病領域,相關的成體干細胞包括間充質干細胞 (MSC) 和神經干細胞 (NSC)(見圖1)。

A)細胞在培養皿中以“球體”形式生長,放大1000倍。B)神經干細胞在“啟動”后即可移植,放大400倍。C)神經干細胞分化為神經元(綠色)和星形膠質細胞(紅色),放大600倍。
干細胞技術的突破與倫理挑戰:另一個值得關注的領域是在特定實驗條件下生成的實驗室改造干細胞。誘導性多能干細胞 (iPSC) 就是一個例子,它通過對成體體細胞進行基因重編程,使其重新獲得多能性胚胎干細胞 (ESC) 的諸多特性。利用iPSC有助于解決與獲取胚胎細胞相關的倫理問題,盡管某些潛在并發癥(例如畸胎瘤形成)仍然存在。
此外,人們對另一種實驗室改造干細胞(稱為轉基因干細胞)的興趣日益濃厚。這些細胞經過基因改造,可過度表達特定的生長因子,從而促進目標組織內其他細胞類型的生長。在治療應用中,NSC也可以來自各種來源,包括ESC或iPSC,然后被導入NSC。
什么是神經發生
神經發生的基本概念與分布:神經發生是指新神經元的生成,主要發生在發育過程中,但在整個成年期都保持在較低水平。神經干細胞 (NSC) 在早期發育過程中最初位于神經管周圍,之后主要位于側腦室和第三腦室的腦室下區以及海馬的顆粒下層(圖2A-C)。中樞神經系統的其他區域,例如脊髓,也含有具有NSC能力的細胞(圖2D)。

綠色熒光蛋白標記的側腦室 (A)、第三腦室 (B)、海馬齒狀回 (C) 和脊髓 (D) 中的神經干細胞。
在發育過程中,大量的NSC會產生,并隨著大腦的生長遷移到各自的目的地。雖然成人大腦中的神經發生程度較低,但新生成的神經元主要整合到現有的神經回路中。分化后,NSC能夠建立新的突觸連接,從而促進稱為可塑性的過程。實驗模型表明,成人大腦損傷后可以激活神經發生。
NSC分化潛能與旁分泌效應:在神經系統疾病中,NSC和MSC均已顯示出在患者身上應用的潛在益處。NSC能夠分化為施萬細胞、負責髓鞘形成的少突膠質細胞和神經元。
此外,除了植入能力之外,干細胞還可以通過釋放各種生長因子和細胞因子(如腦源性神經營養因子、神經生長因子等)對靶組織產生遠程影響。這種現象被稱為旁分泌效應。旁分泌效應在組織修復中起著至關重要的作用,并通過移植細胞分泌的外泌體介導。
它們包括刺激內源性干細胞的增殖,并通過減少促炎細胞因子和粘附分子的產生來調節炎癥反應。據觀察,NSC移植可以通過旁分泌效應增強血腦屏障功能。
治療用NSC的來源與重編程技術:治療性NSC來源包括胚胎干細胞(ESC)及誘導多能干細胞(iPSC)。iPSC通過重編程體細胞獲得多能性,定向分化為NSC后可避免免疫排斥,且規避ESC的倫理爭議。直接轉分化技術(如成纖維細胞→NSC)跳過多能階段,降低致瘤風險,但效率與純度仍需優化。兩類方法均需嚴格質控以確保細胞安全性與功能穩定性。

間充質干細胞和轉分化:除神經干細胞 (NSC) 外,間充質干細胞 (MSC) 因其能夠分化為各種駐留細胞并參與免疫調節,常用于神經系統疾病的動物模型。人們普遍認為,腦血管周圍的周細胞和外膜細胞具有干細胞特性,可以分化為腦內其他特化細胞,包括樹突狀細胞。
MSCs轉分化的爭議與驗證標準:MSCs向神經元轉分化的能力存在顯著爭議。支持者通過形態學改變、神經元標志物(如HUC/D、突觸蛋白)表達及電生理活性驗證其分化;質疑者則認為此類細胞可能僅呈現“神經元樣”表型,缺乏功能性突觸傳遞。爭議核心在于實驗方法(如誘導方案、表觀遺傳調控)與功能評估標準的差異,尤其是能否滿足嚴格的轉分化判定條件(如電生理活性、長期功能整合)。
01、干細胞療法治療中風的應用
中風概況與治療困境:中風是全球第三大死亡原因,分為缺血性(80%)和出血性兩大類型,均導致腦組織不可逆損傷。現有療法如溶栓藥物、血管內介入等受限于狹窄的“時間窗”,主要集中于二級預防和康復,無法實現腦組織實質性再生。盡管部分風險因素可控,但神經功能恢復仍面臨重大挑戰,亟需突破性治療策略。
內源性修復機制的啟示:研究發現,中風后內源性神經祖細胞(NSC)在腦室下區短暫增殖,兩周內數量增加約30%,并向損傷區遷移,提示其參與自然修復。這一過程雖在三至五周后衰退,卻為再生醫學指明方向:通過增強或模擬內源性NSC反應,可能促進神經元再生與功能重建。
在探索中風潛在療法的過程中,干細胞療法已獲得廣泛關注。大量動物研究(主要在大鼠和小鼠中進行)探討了間充質干細胞 (MSC)、脂肪干細胞 (ADSC)、神經干細胞 (NSC) 和誘導多能干細胞 (iPSC) 的應用。全面回顧這些動物研究發現,除少數例外,MSC或NSC在大腦中動脈閉塞 (MCAO)(一種常見的中風模型)后,能夠不同程度地改善神經功能。
干細胞療法(尤其是MSCs和NSCs)對中風的潛在益處可歸因于以下幾種途徑:
- 抗炎作用:干細胞釋放可溶性因子抑制免疫反應,從而形成有利于神經修復的抗炎環境。這些因子下調促炎細胞因子(如TNF-α和IL-6)的表達,同時上調抗炎細胞因子(如IL-10)。
- 營養支持:干細胞分泌組富含神經營養因子。這些分子在支持神經元存活、增強神經突生長和促進突觸可塑性方面發揮著至關重要的作用。這種支持性環境有助于促進中風后的內源性再生和功能恢復。
- 血管生成:中風后恢復不可或缺的一部分是重建血液供應。干細胞會分泌血管內皮生長因子 (VEGF) 等促進血管生成的因子。改善的血管生成可為受損區域提供營養和氧氣,并為遷移細胞到達損傷部位提供途徑。
- 星形膠質細胞增生調控:干細胞療法,尤其是神經干細胞(NSC),已成功用于調控星形膠質細胞增生(即損傷后星形膠質細胞的增殖)。受控的星形膠質細胞增生可以防止神經膠質瘢痕的形成,而瘢痕是神經再生的障礙。同時,星形膠質細胞會分泌支持神經生長的因子,并重建突觸連接。
- 免疫調節:干細胞療法除了局部抗炎作用外,還能調節全身免疫反應。例如,間充質干細胞(MSC)已被證實能與各種免疫細胞(包括T細胞、B細胞和樹突狀細胞)相互作用,從而營造有利于神經修復的整體免疫抑制環境。
了解這些細胞機制至關重要,因為它為優化干細胞并可能將其與藥物結合以增強治療效果提供了途徑。
國內外干細胞治療中風的臨床研究進展:
SB623細胞(日本/美國):已在日本獲批用于創傷性腦損傷后運動障礙,針對中風的III期臨床試驗顯示患者運動功能顯著改善,FDA正在審查其適應癥擴展申請。
國內4款MSCs治療缺血性中風的IND獲批,臨床研究證實其可增強大腦半球間連通性,促進運動恢復。

2024年,在一項單點I期研究中,解放軍總醫院附屬八一腦科醫院等研究人員評估了NSI-566移植治療慢性運動性中風引起的偏癱的可行性和安全性,并確定了未來試驗的最大耐受劑量。

結果表明:9例慢性中風患者接受NSI-566腦內移植后,偏癱癥狀明顯改善,影像學顯示損傷區有新神經組織生成,24個月隨訪無嚴重不良反應。
02、干細胞治療多發性硬化癥的應用
多發性硬化癥(MS)的疾病特征與治療現狀:多發性硬化癥是一種慢性中樞神經系統炎癥性疾病,以免疫介導的髓鞘破壞和軸突損傷為特征,臨床表現為復發緩解或進行性殘疾。
其發病機制與異常活化的T細胞浸潤、脫髓鞘及繼發性神經退行性病變相關,但確切病因尚未明確。現有療法主要通過抑制炎癥反應延緩復發,但對神經修復作用有限,尤其是原發性進展型MS缺乏有效干預手段。
近年來,干細胞療法因兼具免疫調節和神經保護潛能備受關注,如間充質干細胞(MSCs)的抗炎特性可能重塑失衡的免疫微環境,為逆轉神經損傷提供新方向。
在多發性硬化癥(MS)實驗模型中,例如實驗性過敏性腦脊髓炎 (EAE) 模型,腦室內輸注MSCs已被證實可顯著增加存活軸突的數量,與對照動物相比。NSCs和MSCs均已在EAE模型中被研究作為MS的潛在治療方法。
干細胞治療多發性硬化癥的臨床研究進展
間充質干細胞治療多發性硬化癥的隨機對照試驗與療效趨勢:2014年,Llufriu團隊開展的隨機雙盲II期研究評估了間充質干細胞(MSCs)治療復發緩解型多發性硬化(MS)的潛力。9例患者中,MSCs組(n=5)在6個月及研究終點時釓增強MRI病灶數量呈下降趨勢,提示潛在抗炎活性,但未達統計學顯著性。安全性良好,無嚴重不良事件,且Th1細胞頻率未顯著變化,提示MSCs可能通過非直接免疫抑制途徑發揮作用。
多種間充質干細胞制劑的安全性驗證與初步療效信號:2014年,Lublin等使用胎盤來源PDA-001治療MS患者,未觀察到病灶惡化;Connick等靜脈輸注自體骨髓MSCs在10例繼發進展型MS中耐受性良好,并顯示視覺通路保護跡象。
2023年,一項涉及MSCs鞘內給藥的2期臨床試驗中,有18名非復發進展型MS患者參與,未記錄到MS相關的死亡或不良事件。兩名患者在一次鞘內治療期間出現了腰腿疼痛癥狀,符合蛛網膜炎的診斷。

治療后28周,19%的接受治療的參與者的25英尺定時步行速度相對于基線提高了預先設定的25%,并且在各項次要療效結果中也觀察到了一致的療效信號。治療后,腦脊液中的神經保護因子增加,而炎癥指標降低,這與干細胞治療多發性硬化癥(MS)的擬議作用機制相一致。
這些臨床試驗代表著評估干細胞療法在多發性硬化癥(MS)治療中的安全性和潛在療效的重要一步。然而,仍需進一步研究才能充分了解這些療法的益處和長期效果。這些發現凸顯了細胞療法治療多發性硬化癥(MS)的臨床益處總體趨勢。
03、干細胞治療肌萎縮側索硬化癥的應用
ALS的疾病特征與病理機制:肌萎縮側索硬化癥(ALS)是一種以運動神經元進行性丟失為核心的神經退行性疾病,90%為散發性,10%與遺傳相關。患者因上、下運動神經元退化出現肌肉無力、痙攣、腱反射亢進及束顫,逐漸喪失自主運動能力,晚期因呼吸衰竭致死。病理表現為脊髓和大腦運動神經元選擇性死亡,但致病機制復雜,涉及膠質細胞介導的毒性微環境及基因突變(如SOD1)等因素,目前尚無有效阻斷疾病進展的治療手段。
干細胞療法治療肌萎縮側索硬化癥的核心目標與研究進展:干細胞治療旨在替換死亡的運動神經元或增強其存活能力。實驗表明,人類胚胎干細胞(ESC)分化的脊髓運動神經元在攜帶SOD1突變的膠質細胞環境中易受毒性損傷,提示非神經元細胞(如星形膠質細胞)通過釋放炎癥因子或代謝異常加劇神經元死亡。動物模型中,移植神經干細胞(NSC)衍生的運動神經元至ALS大鼠脊髓,可短暫保護局部α運動神經元并改善功能,但對遠端神經元無顯著效果,突顯微環境調控的重要性。
國外干細胞治療肌萎縮側索硬化癥的臨床研究
2025年4月17日,美國華盛頓州Brainstorm Cell Therapeutics公司對外宣布正在努力獲得所需的監管批準,以便在美國啟動3b期臨床試驗,測試其間充質干細胞療法NurOwn(debamestrocel)對病情輕度的肌萎縮側索硬化癥(ALS) 患者的作用。

早期的一項3期研究(NCT03280056)在患有快速進展型ALS的成年人中測試了該療法與安慰劑的療效。但該試驗未能達到其主要目標,即證明NurOwn能夠減緩ALS進展(根據ALS功能評定量表修訂版(ALFRS-R)進行評估)。
國內干細胞治療肌萎縮側索硬化癥的臨床研究進展
2025年02月19日,上海賽爾欣生物醫療科技有限公司(以下簡稱“賽爾欣生物”)迎來了重大喜訊:其自主研發的NP001(Treg)項目正式獲得美國食品藥品監督管理局(FDA)關于新藥臨床試驗申請(IND)的受理(Application Type/Number: IND 031401.0)。
NP001項目意義非凡,不僅是全球首款采用鞘內注射的Treg細胞產品,更是全球首個針對肌萎縮側索硬化癥(漸凍癥,ALS)完成中、美IND申報的細胞治療產品。目前Treg細胞治療全球范圍內還沒有上市產品,這標志著中國細胞療法已邁入國際研發前列。
2025年1月,上海東方醫院開展iPSC來源運動神經元前體細胞治療ALS的I期試驗,探索多劑量移植的安全性與神經功能保護效果。

這些發現共同凸顯了細胞療法在ALS治療中的潛力,并鼓勵該領域的持續研究。未來仍需更多研究來理解其潛在機制并優化治療方法。
04、干細胞治療帕金森病的應用
帕金森病(PD)的病理特征與治療困境:帕金森病 (PD) 是一種主要影響錐體外系運動系統的退行性疾病。其特征包括震顫、僵硬和運動遲緩(動作遲緩)。PD還會導致一系列非運動癥狀,包括自主神經功能障礙、認知障礙和精神問題。
PD的神經病理學變化包括腦干和其他受影響細胞核中多巴胺能神經元的丟失,以及突觸核蛋白在某些細胞的細胞質內積聚,形成包涵體,即路易體(圖3)。

A)正常黑質,多巴胺能神經元密度正常(箭頭)。放大400倍。B)黑質組織切片的α-突觸核蛋白免疫染色顯示受影響神經元中的路易氏體。請注意,與A相比,B中的黑質神經元數量減少。這些神經元的丟失是帕金森病患者運動癥狀的主要原因。
過去五十年來,多巴胺能療法被廣泛用于治療帕金森病。這些療法已顯示出顯著的療效,尤其是在疾病早期。然而,由于多巴胺受體(包括紋狀體外的受體)刺激改變相關的副作用,其長期應用受到限制。因此,過去三十年來,人們進行了大量的研究,探索細胞移植技術作為緩解多巴胺能細胞缺失所致癥狀的潛在治療方法。
胎兒細胞移植的探索與局限性:早期研究證實,將人類胎兒中腦多巴胺能神經元移植至患者紋狀體可長期改善運動功能并減少藥物依賴,為細胞療法奠定概念驗證基礎。然而,胎兒組織來源受限、倫理爭議及異質性等問題阻礙其廣泛應用,促使科研轉向更可控的細胞來源,如多能干細胞(胚胎干細胞或誘導多能干細胞)定向分化的中腦多巴胺能祖細胞。
干細胞療法的突破與前景:通過優化分化技術,多能干細胞可高效生成功能成熟的多巴胺能神經元,其純度與穩定性顯著優于傳統胎兒細胞。結合,臨床前研究表明,干細胞療法已展現出替代或超越傳統治療的潛力,為帕金森病提供從癥狀控制轉向神經再生的革命性策略。
干細胞治療帕金森病的研究進展
國際研究進展與關鍵突破:國際干細胞治療帕金森病的研究已進入臨床驗證階段,多項試驗證實了其安全性與潛在療效。
日本京都大學團隊利用誘導多能干細胞(iPSC)分化的多巴胺能前體細胞進行移植治療,7名患者在24個月隨訪中未出現嚴重副作用,且運動功能評分(MDS-UPDRS)顯著改善,氟-18-DOPA顯像顯示多巴胺合成能力提升44.7%。

美國紀念斯隆-凱特琳癌癥中心則采用胚胎干細胞(hES)衍生的多巴胺能神經元(Bemdaneprocel)治療帕金森病,在12例晚期患者中觀察到殼核多巴胺攝取增加,高劑量組運動癥狀評分平均改善23分,且未引發移植物相關運動障礙,III期試驗已獲FDA批準啟動。

此外,美國BlueRock Therapeutics的即用型細胞產品展現了穩定療效,患者每日“正常狀態”時間延長2.7小時,為大規模應用奠定基礎。
國內創新與臨床轉化進展:我國在干細胞治療帕金森病領域實現多項自主突破。
上海瑞金醫院完成首例自體iPSC來源多巴胺能神經前體細胞移植手術,患者沈女士術后運動功能顯著恢復,UX-DA001注射液成為全球首款中美雙獲批的iPSC細胞藥物。
上海市東方醫院聯合士澤生物開展的自體iPSC療法臨床試驗顯示,受試者12個月后運動評分降低超20分,功能逆轉效果顯著。
此外,北京協和醫院創新開發經鼻無創移植技術治療帕金森病,利用嗅覺神經通路繞過血腦屏障,簡化了細胞遞送流程。盡管面臨標準化生產與長期安全性驗證等挑戰,國內研究已從跟跑轉向并跑,為全球帕金森病治療提供了“中國方案”。
05、創傷性腦損傷的干細胞療法
干細胞療法的潛力與臨床前研究挑戰:干細胞療法為創傷性腦損傷(TBI)后的神經再生與功能恢復提供了新希望,其機制包括移植細胞直接分化為神經細胞、分泌神經營養因子及調節炎癥微環境。例如,靜脈注射間充質干細胞(MSCs)可顯著改善TBI大鼠的運動與神經功能。
然而,臨床前研究與臨床實踐間的差異需謹慎考量:動物模型(如嚙齒類受控皮質撞擊或液壓沖擊)常模擬重度TBI,而人類TBI嚴重程度分類(如格拉斯哥昏迷量表)難以直接轉化至動物,導致結果外推存在局限性,需平衡解讀實驗數據。
作用機制與內源性修復的協同效應:干細胞不僅通過替代損傷神經元發揮作用,還能激活內源性修復。神經干細胞(NSCs)可遷移至損傷部位分化為神經元與膠質細胞,但其再生能力受限于TBI后的炎癥環境。
研究顯示,移植的人類NSCs可調控小膠質細胞/巨噬細胞向神經保護性M2表型極化,抑制過度炎癥反應,同時減少軸突損傷標志物(如淀粉樣β蛋白前體)積累,并協同膠質細胞源性神經營養因子促進神經突生長。此外,干細胞分泌的細胞因子可提供營養支持,維持損傷區微環境穩態。
干細胞治療創傷性腦損傷的臨床研究進展
2017年,Cox等人開展的一項針對TBI患者的I期臨床試驗結果已證明干細胞移植作為一種潛在治療方法的安全性和可行性。具體而言,Cox等人的研究表明,靜脈注射自體骨髓間充質干細胞 (MSC) 不僅未出現嚴重不良事件,還發現保留重要腦區與炎癥細胞因子的下調相關。這些發現表明,MSC療法可能具有雙重益處,對TBI的結構和功能產生影響。

2013年,Wang等人在一項II期臨床試驗中探索了經腰椎穿刺從臍帶移植MSC的潛在益處。結果顯著,顯示干預六個月后 TBI 患者的運動和感覺功能以及平衡能力有所改善。與此形成鮮明對比的是,未接受治療的對照組并未出現此類改善,這進一步鞏固了MSC移植在促進TBI患者運動和感覺恢復方面的潛在作用。

雖然這些初步發現令人鼓舞,但也凸顯了開展更廣泛研究的必要性。更大規模的臨床試驗對于進一步驗證這些初步結果并完善治療方案至關重要。此外,長期隨訪對于評估觀察到的改善的持久效果并了解其對患者預后的更廣泛影響仍然至關重要。
06、干細胞療法與阿爾茨海默病
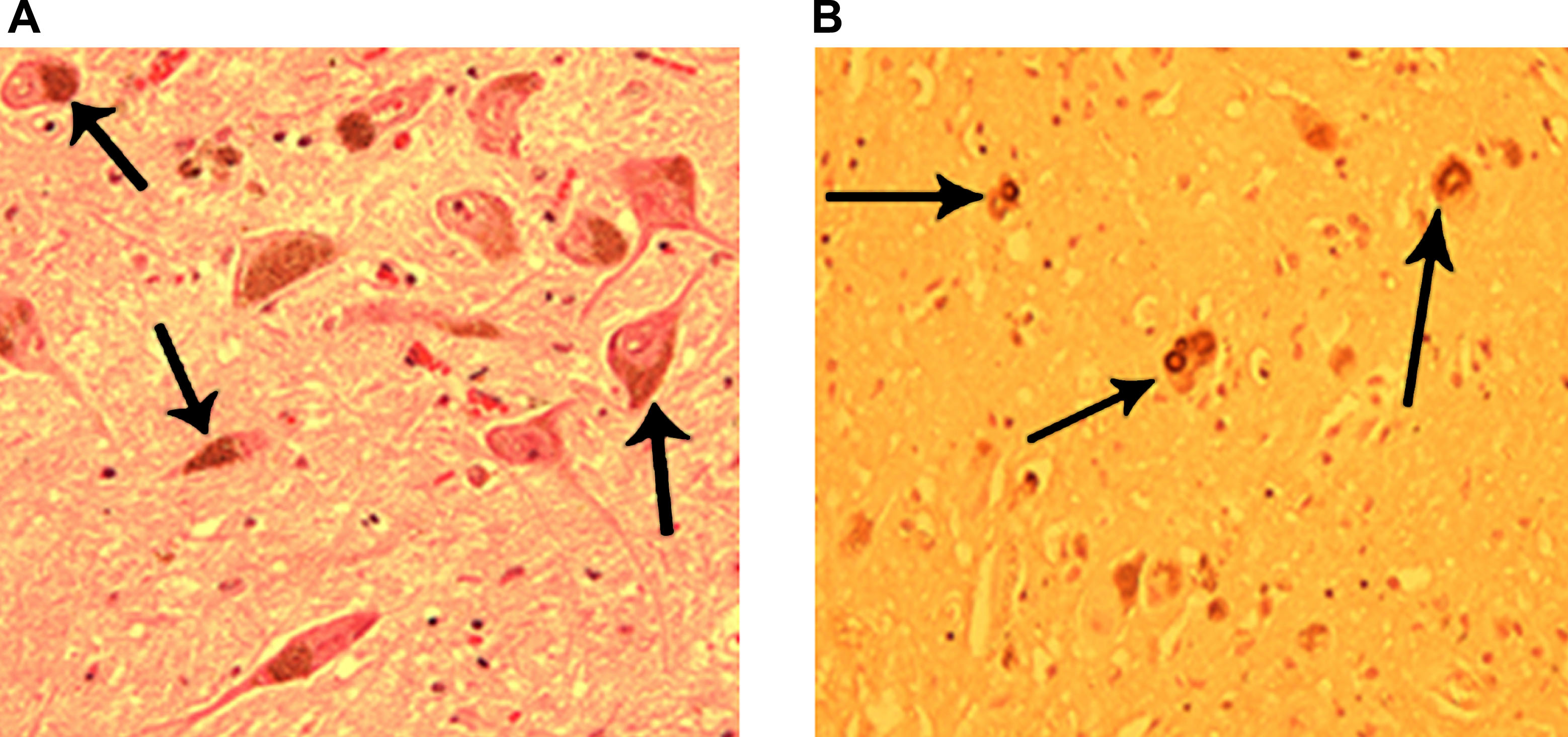
阿爾茨海默病(AD)的病理機制與治療瓶頸:阿爾茨海默癥 (AD) 是影響老年人最常見的癡呆癥。AD的神經病理學特征包括淀粉樣β蛋白 (Aβ) 以斑塊形式積聚,以及神經原纖維纏結中異常的tau蛋白(圖4)。

圖中顯示了淀粉樣蛋白和微管相關蛋白tau的異常積聚,如垂直和水平箭頭所示。這種積聚與神經元和突觸的顯著減少有關。放大400倍。
除了這些特征性病理特征外,神經炎癥反應部分由激活的小膠質細胞和星形膠質細胞驅動,導致神經元損傷。神經血管單元的破壞,包括血腦屏障的破壞,長期以來被認為是AD病理學的關鍵因素,會影響大腦中的營養輸送和廢物清除。這些病理變化導致突觸和神經元逐漸丟失,從而造成認知和行為障礙。
氧化應激進一步加劇神經元損傷與干細胞衰老,導致再生能力衰退。現有FDA批準的藥物(如aducanumab、lecanemab)雖可減少Aβ沉積,但臨床療效微弱且伴隨腦水腫等風險,亟需靶向疾病進展的突破性療法。
由于這些原因,干細胞移植已成為一種減緩AD認知能力下降的潛在治療方法。有趣的是,在AD動物模型中的研究表明,基于干細胞的療法通過神經保護對抗氧化應激和營養支持等機制發揮作用,而不是直接替換神經元。
干細胞治療阿爾茨海默病的臨床研究進展
Kim等人(2021)基于動物模型中移植間充質干細胞(MSC)可降低淀粉樣蛋白水平并改善功能的初步研究,開展I期臨床試驗探索MSC用于阿爾茨海默癥(AD)治療。

研究招募9名輕至中度AD患者,提前四周手術植入Ommaya儲液器以便干細胞注射,患者分為低劑量(1.0×10?個細胞/2mL)3人和高劑量(3.0×10?個細胞/2mL)6人兩組,連續注射三次、間隔4周。
安全性監測顯示,注射人臍帶血來源MSC(hUCB-MSC)后最常見不良反應為發熱(所有患者均出現),伴隨頭痛、惡心、嘔吐等癥狀,36小時內消退;36個月延長觀察期內,五名參與者無其他嚴重不良事件。研究認為,通過Ommaya儲液器腦室內注射hUCB-MSC可行、相對安全且耐受性良好。
Brody等人(2023)開展以同種異體間充質干細胞產品“Lomecel-B”為核心的I期臨床試驗,探究其對輕度AD患者的安全性及對臨床和生物標志物指標的影響。

該雙盲、隨機試驗招募輕度AD患者,參與者分別接受低劑量、高劑量Lomecel-B或安慰劑單次輸注,主要終點聚焦安全性且結果滿意。次要和探索性結果顯示,基于液體生物標志物、神經影像數據和神經認知評估,Lomecel-B治療組療效較安慰劑組顯著改善。需注意的是,該研究為公司贊助,其結果需獨立驗證。
綜上所述,在阿爾茨海默癥 (AD) 患者中使用間充質干細胞 (MSC) 和神經干細胞 (NSC) 進行的 I 期臨床試驗已證明這些細胞療法相對安全。正在進行的研究旨在闡明這些機制并改進AD的干細胞移植策略,從而為未來改善療效和開發潛在的疾病改良方法帶來希望。
總結與展望
治療潛力與核心優勢:干細胞療法為永久性神經損傷疾病(如中風、帕金森病、ALS)提供了革命性治療方向,其核心優勢在于多靶點干預:通過分泌神經營養因子修復損傷、替代丟失神經元或膠質細胞、重塑炎癥微環境并保護血腦屏障完整性。相較于傳統藥物僅能緩解癥狀,干細胞可激活內源性修復機制,實現神經網絡的再生與功能重建,為脊髓損傷、多發性硬化等復雜疾病帶來逆轉病程的可能。
臨床轉化挑戰與成本考量:盡管前景廣闊,干細胞治療仍面臨多重挑戰:移植細胞在病變區域的存活率與功能整合效率偏低,長期安全性(如致瘤風險)需更大樣本驗證;高昂的初始成本(如個性化iPSC制備)可能限制普及,但其持久療效或可降低長期醫療支出。隨著自動化培養、基因編輯及通用型細胞技術的突破,未來治療成本有望大幅優化,推動從“天價療法”向普惠醫療轉化。
未解之謎與未來方向:核心科學問題聚焦于細胞與宿主的交互機制:這些細胞如何整合到現有的神經回路中?其長期效應和潛在風險是什么?我們如何進一步增強其療效?解答這些問題對于優化療法至關重要,全球各地的實驗室正在進行的研究正在積極尋求答案。
同時,聯合療法(如干細胞+生物支架+光遺傳調控)和新型遞送技術(經鼻無創移植)的探索,將進一步提升療效與安全性,最終實現從“實驗性干預”到“臨床標準化方案”的跨越。
主要參考資料:
[1]:Pappolla MA, Wu P, Fang X, et al. Stem Cell Interventions in Neurology: From Bench to Bedside. Journal of Alzheimer’s Disease. 2024;101(s1):S395-S416. doi:10.3233/JAD-230897
免責說明:本文僅用于傳播科普知識,分享行業觀點,不構成任何臨床診斷建議!杭吉干細胞所發布的信息不能替代醫生或藥劑師的專業建議。如有版權等疑問,請隨時聯系我。
掃碼添加微信